Case 2 skelsurv

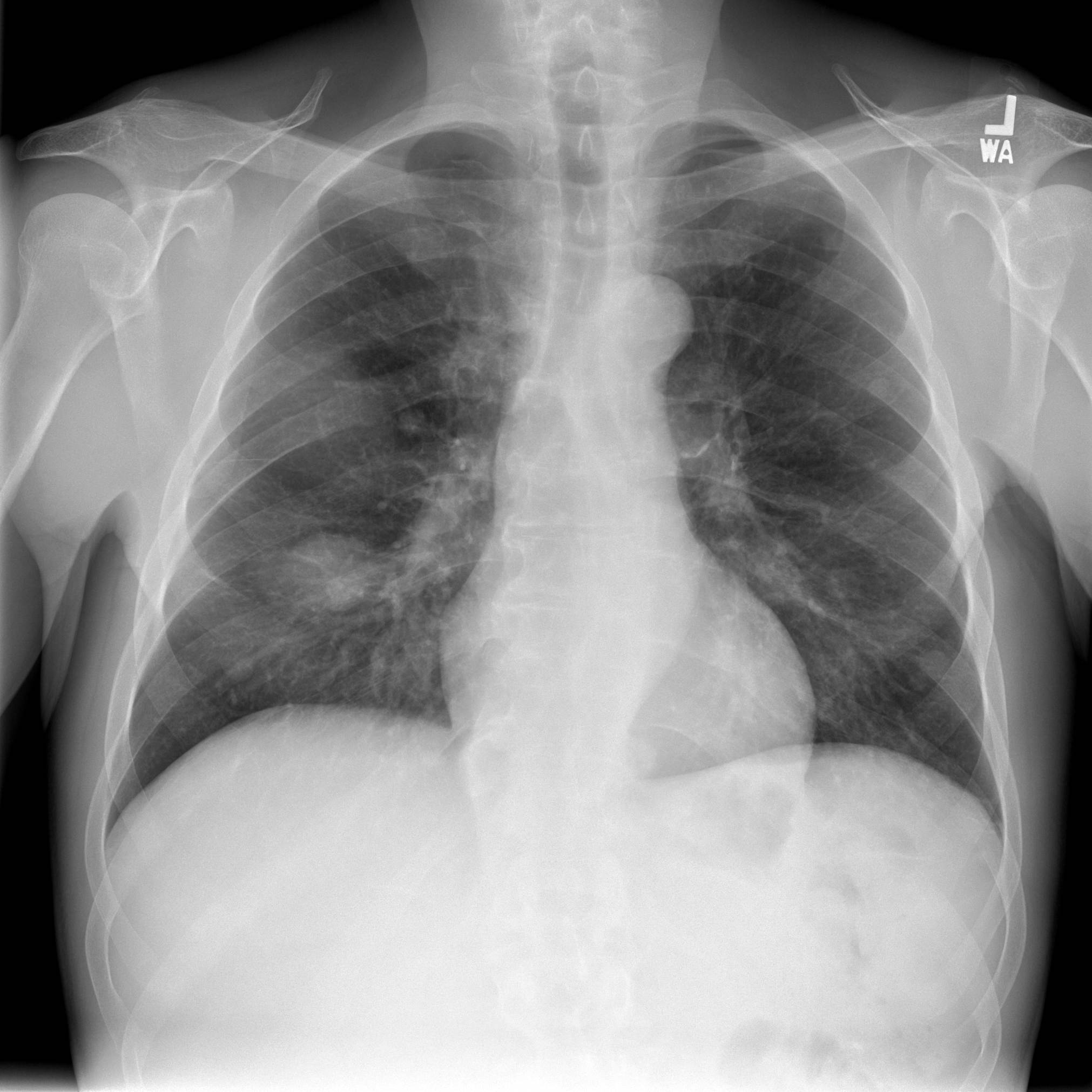
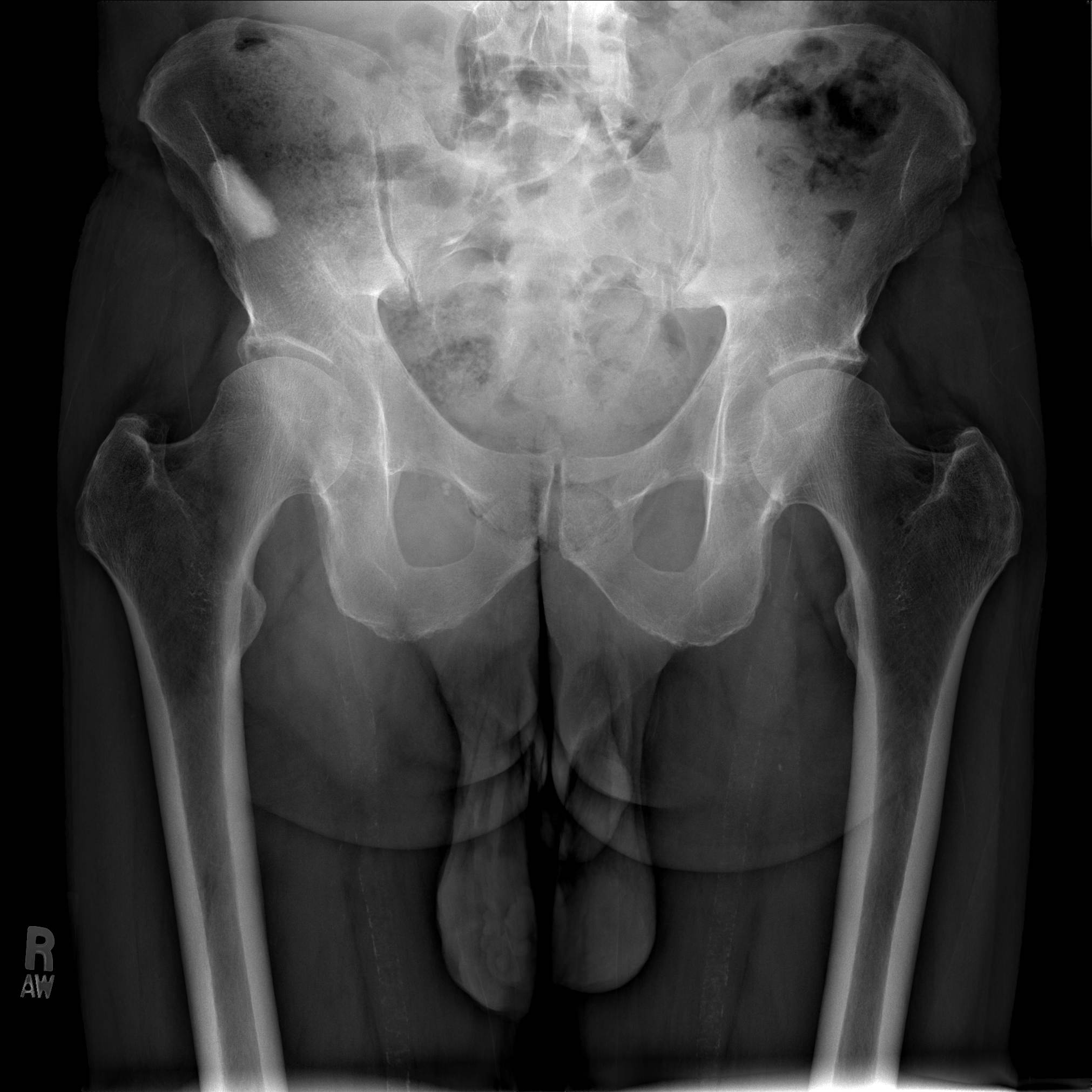
IMPRESSION:
1. Right lung mass with multiple bilateral pulmonary nodules. 32 mm x 17
mm sclerotic lesion within the right iliac bone. This likely represents a
primary lung cancer with metastatic lesion to the pelvis.
2. Severe degenerative disk disease at C5-6 and C6-7.
3. Grade 1 spondylolisthesis of L3 on L4 with multilevel facet DJD.